
レーザーホワイトニングは、安全でナチュラルに、しかも今までに比べて非常に短時間で歯を白くする最新の方法です。ホワイトニングの最中は無痛で、麻酔の必要もありません。歯を削ったり傷つけることも無く、またマニキュアの様に色を塗るわけでもありません。レーザー光線の力で貴方の歯が白く輝く歯に変わります。
アメリカでのホワイトニングの60%のシェアを持つホームホワイトニング。自宅で気軽に歯を白くできることがその人気の秘密です。カスタムメイドのマウスピースを作り、そこにホワイトニングジェルを流して使用します。一度マウスピースを作れば、後は歯科医師の処方によるジェルをなくなったら追加するだけでお家でホワイトニングが簡単に、そして継続的にできるのです。レーザーホワイトニングとの併用、メンテナンス用にお薦めいたします。

・約5万円~
( ※自費治療となります。※写真はすべて画像処理はしておりません。)
レーザーによるオフィスホワイトニング。
(3回施術)
レーザーによるオフィスホワイトニング。
(3回施術)
レーザーによるオフィスホワイトニング。(3回施術)
ガムブリーチ
歯茎の黒い部分(メラニン色素の沈着)の除去。
(2週間後の様子〉
ガムブリーチ〈1ヵ月後の写真〉
セラミック治療(※自費治療となります。※写真はすべて画像処理はしておりません。)
セラミック治療による審美性の回復
レーザーによるオフィスホワイトニング+オールセラミックによる審美性の回復
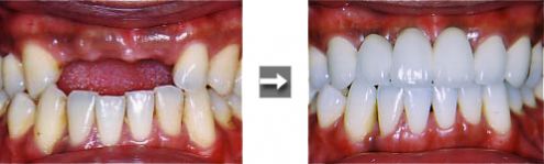
事故による欠損をホワイトニング+セラミックによる審美治療
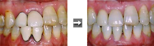
セラミック治療による審美性の回復(周りの歯との調和)
![]() |
| シェードガイドでベースの色合わせをし様々な歯の特徴を読取り自然感のあるセラミック歯を製作します。 |
|
一言にセラミック治療といっても様々な方法や材料があり、完成するセラミック歯には歯科医師と歯科技工士の確かな技術とセンスにより患者様の満足度は異なります。 |
![]() |
| 下の歯の色調に合わせ上の前歯4本のオールセラミック治療 |
| 天然歯と人工的に造られたセラミック歯とは見た目にはまったく見分けることはできません。 現時点における最高レベルの歯科技術です。
|
![]() |
| どの歯がセラミック歯でしょう。 |
| 正解は向かって左上1歯
|
![]() |
| どの歯がセラミックでしょう。 |
| 正解は向かって右上1歯 |